Kahramanmaraş'ta 1 Yaşındaki Bebeğin Sırtından Çıkarılan 2 cm'lik Zımba Teli
Kahramanmaraş'ta bir yaşındaki bebek, sırt üstü yatmak istemediği için hastaneye götürüldü ve sırtından akciğer zarına doğru ilerlemiş 2 cm uzunluğunda bir zımba teli çıkarıldı. Cerrahi müdahale lokal anestezi ve sedasyonla gerçekleştirildi.
30.01.2026 10:45
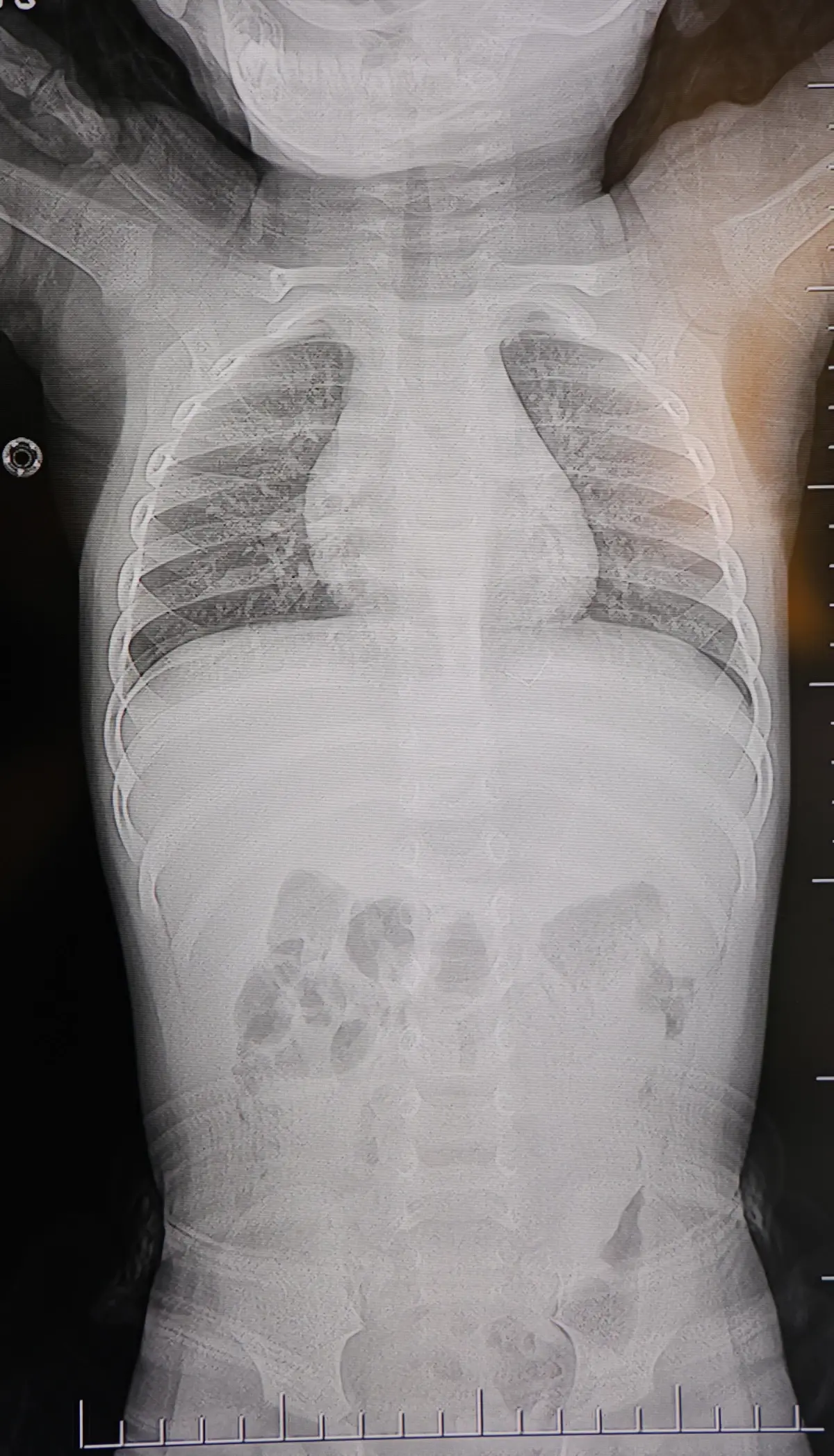
Kahramanmaraş'ta bir yaşındaki bir bebek, sırt üstü yatmak istemediği ve sürekli ağlaması nedeniyle ailesi tarafından hastaneye yönlendirildi. Yapılan detaylı muayeneler sonucunda, bebeğin sırt bölgesinden akciğer zarına doğru ilerlemiş 2 cm uzunluğunda bir zımba teli tespit edildi.

Olayın Detayları
İlgili aile, bebeğin rahatsızlığını farklı kliniklerde değerlendirdikten sonra HG Hospital'e başvurdu. Prof. Dr. İdris Altun ve ekibi, görüntüleme tetkikleriyle zımba telinin konumunu kesin olarak belirledi.
Tanı ve Tedavi Süreci
- Ultrason ve röntgen ile telin konumu tespit edildi.
- Yerel anestezi ve hafif sedasyon uygulandı.
- Genel anesteziye gerek kalmadan minimal invaziv bir cerrahi planlandı.
Operasyon ve Sonuç
Uzman cerrahlar, telin akciğer zarına zarar vermeden güvenli bir şekilde çıkarılmasını sağladı. Operasyon sonrası bebek, gözlem altında tutuldu ve komplikasyonsuz bir iyileşme süreci yaşadı.
Etiketler:
Yazar:
İlginizi Çekebilecek Haberler
Son Haberler
Kırşehir'de 14 Tarihi Eser Ele Geçirildi: Operasyonun Detayları
Batman’da 272 İşletmeye Gıda Denetimi Sonrası Ceza Uygulandı
Antalya’da COP31: Tarım ve Sera Teknolojileri Öne Çıkıyor
Viranşehir'de Jandarma Operasyonu: Kasten Öldürme Zanlısı B.B. Yakalandı